Mismatch Repair Protein (MSH6)

Antigen Background
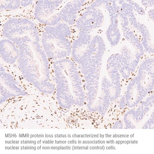
Mismatch repair gene MutS Homolog 6 is a ubiquitous gene encoding the mismatch repair protein (MMR) MutS protein homolog 6 (MSH6). MSH6 functions by repairing mutations occurring during DNA replication, in normal proliferating cells.

Disclaimer
Mismatch Repair Protein (MSH6) is recommended for the detection of specific antigens of interest in normal and neoplastic tissue, as an adjunct to conventional histopathology using non-immunologic histochemical stains. Loss of MSH6 is associated with MMR deficiency and microsatellite instability (MSI) in colorectal and other cancers. Loss of MSH6 in colorectal cancer may assist in identifying patients with possible Lynch syndrome.

LOG IN to check your price,
or REQUEST a bulk quote.
The BOND MMR Antibody Panel is now available for clinical use on the BOND-III and BOND-MAX Immunohistochemistry (IHC) automated instruments as a Class II with the product codes PA0988-U, PA0989-U, PA0990-U, PA0991-U

Products

Products

PA0990-U
7ml MSH6 (EP49) Bond RTU Primary
In Stock
Ships via Overnight
LOG IN to check your price,
or REQUEST a bulk quote.

Downloads

Downloads

PA0990-U

You may also like

Recently Viewed