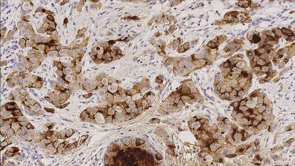
Invasive breast carcinoma: immunohistochemical staining for Gross Cystic Disease Fluid Protein-15. Note the cytoplasmic staining in tumor cells. Gross Cystic Disease Fluid Protein-15: clone 23A3

Gross Cystic Disease Fluid Protein-15

Antigen Background

Gross cystic disease of the breast is a benign premenopausal disorder in which cysts are a predominant pathological lesion. These cysts appear to be formed from excessive apocrine cystic secretions. This fluid is composed of several glycoproteins including a unique 15 kD monomer protein, GCDFP15. It has been reported that cytosolic analysis of normal tissue from all major organs has demonstrated GCDFP15 in apocrine epithelia, lacrimal, ceruminous and Moll's glands and in numerous serous cells of the submandibular, tracheal, bronchial, sublingual and minor salivary glands. Cytosol from breast carcinoma lesions are reported to contain GCDFP15 at a wide range of concentrations. The concentration is reported to be highest in more differentiated carcinomas and GCDFP15 shows only a few positive individual epithelial cells within lobules and small ducts in normal breast. Expression has also been reported in fibroadenomas within areas of apocrine metaplasia.

Disclaimer

Gross Cystic Disease Fluid Protein-15 is recommended for the detection of specific antigens of interest in normal and neoplastic tissues, as an adjunct to conventional histopathology using non-immunologic histochemical stains.

LOG IN to check your price,
or REQUEST a bulk quote.
Please be advised we have recently updated our product codes for many Advanced Staining Reagents. We ask that you please update your records at this time.

Please see here for more information

Products

Products

GCDFP15-L-U
Gross Cystic Disease Fluid Protein-15, Liquid Concentrate (1ml)
In Stock
Ships via Overnight
LOG IN to check your price,
or REQUEST a bulk quote.
PA0708-U
7ml GCDFP15 Bond RTU Primary
In Stock
Ships via Overnight
LOG IN to check your price,
or REQUEST a bulk quote.

Downloads

Downloads

GCDFP15-L-U

PA0708-U

Recently Viewed