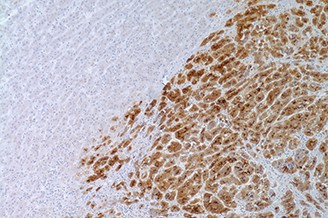
Glypican-3 (1G12)

This antibody is intended for in vitro diagnostic (IVD) use. The Cell Marque Glypican-3 (1G12) antibody is intended for qualified laboratories to qualitatively identify by light microscopy the presence of associated antigens in sections of formalin-fixed, paraffin-embedded tissue sections using IHC test methods. Use of this antibody is indicated, after clinical differential diagnosis, as an aid in the identification of hepatocellular carcinoma within the context of an antibody panel, the patient’s clinical history, and other diagnostic tests evaluated by a qualified pathologist.

Instructions For Use (IFU)

Leica Biosystems has not validated the performance characteristics of the Cell Marque products on the BOND and BOND-MAX analyzers. For performance data, MSDS sheets, and technical troubleshooting, please contact Cell Marque directly.

LOG IN to check your price,
or REQUEST a bulk quote.

Products

Products

PA0800
7ML Glypican-3 (1G12 Mab) 'CM'
In Stock
Ships via Overnight
LOG IN to check your price,
or REQUEST a bulk quote.

Downloads

Downloads

Recently Viewed