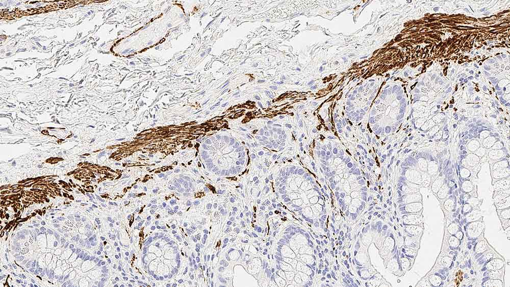
Human bowel: immunohistochemical staining for desmin. Note cytoplasmic staining of smooth muscle containing cells. Desmin: clone DE-R-11

Desmin

Product Specific Information

DES-DERII reacts with an 18 kD rod piece of the intermediate filament protein desmin (53 kD) in muscle cells. The antibody does not appear to recognize other intermediate filament proteins. In normal tissues, Clone DE-R-11 reacts with both striated (skeletal and cardiac) and smooth muscle cells. The labeling is confined to the Z bands in skeletal and cardiac muscle giving a characteristic striated appearance.

Disclaimer
Desmin is recommended for the detection of specific antigens of interest in normal and neoplastic tissues, as an adjunct to conventional histopathology using non-immunologic histochemical stains.

LOG IN to check your price,
or REQUEST a bulk quote.
Please be advised we have recently updated our product codes for many Advanced Staining Reagents. We ask that you please update your records at this time.

Please see here for more information

Products

Products

DES-DERII-L-U
Desmin, Liquid Concentrate (1ml)
Limited Stock (More Details)
Ships via Overnight
LOG IN to check your price,
or REQUEST a bulk quote.
PA0032-U
7ml Desmin Bond RTU Primary
In Stock
Ships via Overnight
LOG IN to check your price,
or REQUEST a bulk quote.

Downloads

Downloads

DES-DERII-L-U

PA0032-U

Recently Viewed