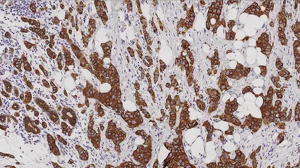
Invasive breast carcinoma: immunohistochemical staining for Cytokeratin 7. Note the intense staining of invasive tumor cells. Cytokeratin 7: clone RN7

Cytokeratin 7

Antigen Background
Cytokeratins are intermediate filament proteins present in epithelial cells. They are expressed in a tissue-specific manner in normal organs and the tumors that arise from them. Cytokeratin 7 belongs to the neutral basic type B subfamily of cytokeratins. Its distribution is confined to glandular and transitional epithelia. Cytokeratin 7 is reported to be expressed in abundance in cultured bronchial and mesothelial cells but only at lower levels in cultured epidermal cells. The predicted amino acid sequence of this keratin has revealed a striking difference between this keratin and the type II keratins expressed in epidermal cells. Cytokeratin 7 has been reported in adenocarcinomas of the lung, breast, endometrium, ovary, thyroid as well as in carcinomas of the bladder and chromophobe renal cell carcinoma. Cytokeratin 7 and Cytokeratin 20 expression have been reported to show characteristic patterns on primary and metastatic lung and colorectal adenocarcinomas.

Product Specific Information
Where clone OV-TL 12/30 can produce unwanted staining of endothelial cells, clone RN7 does not stain these cell types. The choice of epitope retrieval, heat or enzyme, to provide the best result with clone OV-TL 12/30 should be determined by the user. Clones RN7 and OV-TL 12/30 react with the human cytokeratin intermediate filament protein (54 kD) identified as cytokeratin 7.

Disclaimer
Cytokeratin 7 is recommended for the detection of specific antigens of interest in normal and neoplastic tissues, as an adjunct to conventional histopathology using non-immunologic histochemical stains.

LOG IN to check your price,
or REQUEST a bulk quote.
Please be advised we have recently updated our product codes for many Advanced Staining Reagents. We ask that you please update your records at this time.

Please see here for more information

Products

Products

CK7-560-L-U
Cytokeratin 7, Liquid Concentrate (1ml)
In Stock
Ships via Overnight
LOG IN to check your price,
or REQUEST a bulk quote.
CK7-OVTL-L-U
Cytokeratin 7, Liquid Concentrate (1ml)
In Stock
Ships via Overnight
LOG IN to check your price,
or REQUEST a bulk quote.
PA0942-U
7ml Cytokeratin 7 Bond RTU Primary
In Stock
Ships via Overnight
LOG IN to check your price,
or REQUEST a bulk quote.
PA0138-U
30ml Cytokeratin 7 Bond RTU Primary
In Stock
Ships via Overnight
LOG IN to check your price,
or REQUEST a bulk quote.

Downloads

Downloads

CK7-560-L-U

CK7-OVTL-L-U

PA0942-U

PA0138-U

Recently Viewed