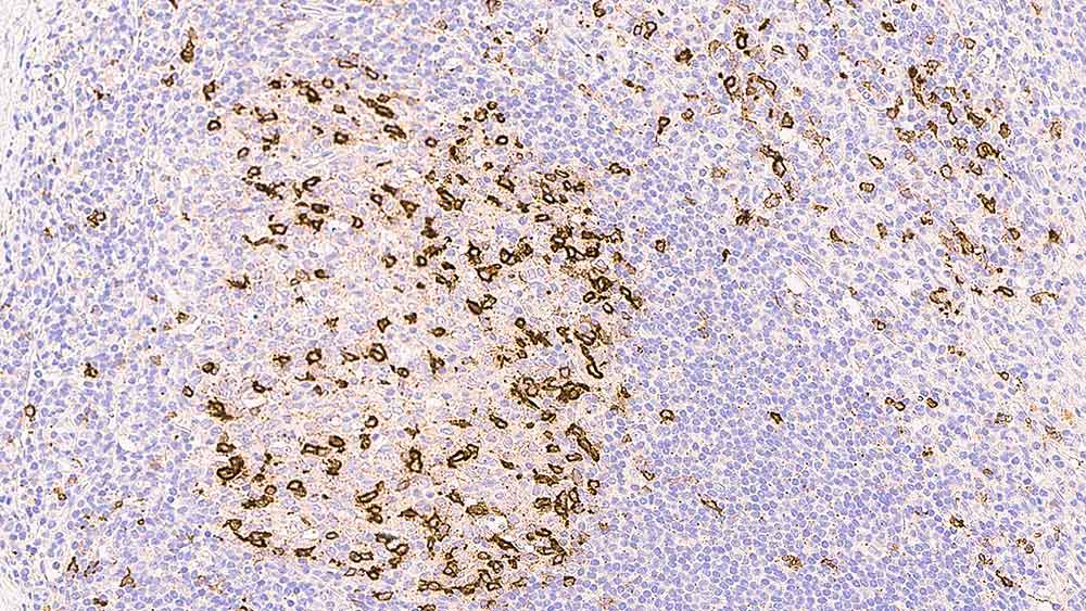
Human tonsil: immunohistochemical staining of T lymphocytes. CD57: clone NK-1

CD57

Antigen Background

The CD57 glycoprotein, also known as HNK-1, has a molecular weight of 110 kD. It is found on a subset of mononuclear cells with natural killer activity and on neuroectodermal cells expressing myelin-associated glycoprotein. Many cells which co-express CD57 and CD8 proteins are a subset of suppressor/cytotoxic T cells. These cells play a role in the rejection of grafts in acute graft versus host disease. The CD57 molecule is not expressed on erythrocytes or platelets.

Product Specific Information

Enzyme pretreatment may enhance staining in some cases.

Disclaimer

CD57 is recommended for the detection of specific antigens of interest in normal and neoplastic tissues, as an adjunct to conventional histopathology using non-immunologic histochemical stains.

LOG IN to check your price,
or REQUEST a bulk quote.
Please be advised we have recently updated our product codes for many Advanced Staining Reagents. We ask that you please update your records at this time.

Please see here for more information

Products

Products

PA0443-U
7ml CD57 Bond RTU Prim
Limited Stock (More Details)
Ships via Overnight
LOG IN to check your price,
or REQUEST a bulk quote.

Downloads

Downloads

PA0443-U

Recently Viewed