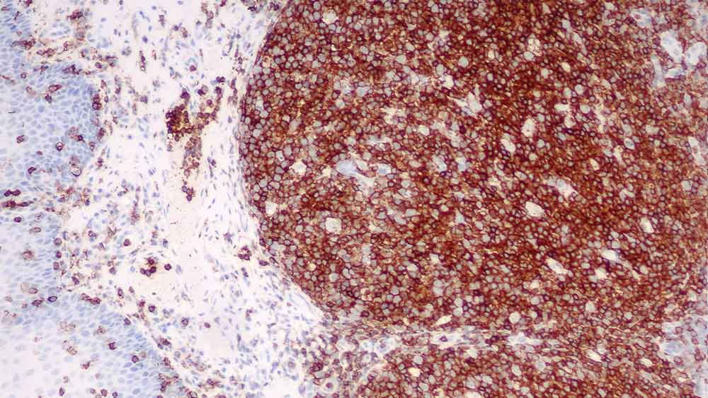
Human tonsil: immunohistochemical staining of CD45 or leukocyte common antigen (LCA) in various hematolymphoid cells. CD45: clone X16/99

CD45

Antigen Background

The CD45 antigen (leukocyte common antigen) is a family of five or more high molecular weight glycoproteins present on the surface of the majority of the human leukocytes (including lymphocytes, monocytes and eosinophils) but absent from erythrocytes and platelets. Various isoforms of CD45 are generated by alternative splicing of three exons. Expression of CD45 is necessary for signaling through the T cell receptor.

Disclaimer

CD45 is recommended for the detection of specific antigens of interest in normal and neoplastic tissues, as an adjunct to conventional histopathology using non-immunologic histochemical stains.

LOG IN to check your price,
or REQUEST a bulk quote.
Please be advised we have recently updated our product codes for many Advanced Staining Reagents. We ask that you please update your records at this time.

Please see here for more information

Products

Products

LCA-L-U
CD45, Liquid Concentrate (1ml)
In Stock
Ships via Overnight
LOG IN to check your price,
or REQUEST a bulk quote.
PA0042-U
7ml CD45 Bond RTU Primary
In Stock
Ships via Overnight
LOG IN to check your price,
or REQUEST a bulk quote.

Downloads

Downloads

LCA-L-U

PA0042-U

Recently Viewed