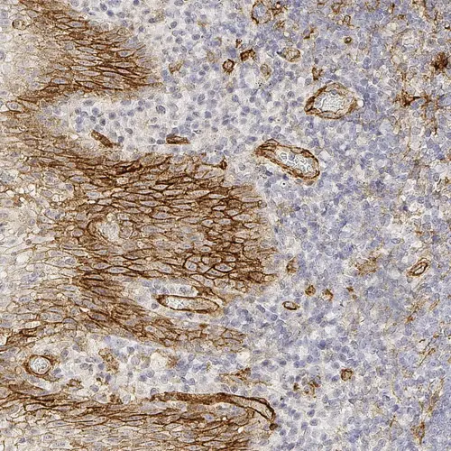
Human tonsil: immunohistochemical staining for CD141. Note membrane staining of the basal cells of the squamous mucosa, endothelium and a subset of dentritic cells. CD141: clone 15C8

CD141 (Thrombomodulin)

Antigen Background
Thrombomodulin is a transmembrane glycoprotein of 75 kD which can accelerate the activation of protein C. Activated protein C functions as an anticoagulant by combining with protein S to inactivate factors Va and VIIIa of the blood coagulation pathway and by binding thrombin. Several factors regulate thrombomodulin expression. Downregulation of thrombomodulin may be induced by the cytokine interleukin-1, tumor necrosis factor and endotoxin. Agents which increase cyclic AMP such as forskolin may upregulate thrombomodulin activity in endothelial cells. Thrombomodulin has been identified within a number of normal tissues. These include the lining cells of arteries, veins, capillaries and the lymphatics as well as mesothelial cells, meningeal lining cells, synovial cells, syncytiotrophoblasts, megakaryocytes and platelets.

Disclaimer
CD141 (Thrombomodulin) is recommended for the detection of specific antigens of interest in normal and neoplastic tissues, as an adjunct to conventional histopathology using non-immunologic histochemical stains.

LOG IN to check your price,
or REQUEST a bulk quote.

Products

Products

CD141-L-U
1ml NCL-L-CD141
In Stock
Ships via Overnight
LOG IN to check your price,
or REQUEST a bulk quote.

Downloads

Downloads

CD141-L-U

Recently Viewed