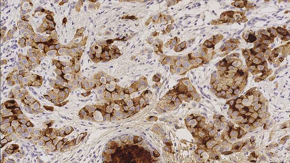
Invasive breast carcinoma: immunohistochemical staining for Gross Cystic Disease Fluid Protein-15. Note the cytoplasmic staining in tumor cells. Gross Cystic Disease Fluid Protein-15: clone 23A3

Fluído da proteína de doença cística macroscópica 15

Informações do antígeno

A doença cística macroscópica da mama é uma desordem da pré-menopausa benigna em que os cistos são uma lesão patológica predominante. Estes cistos parecem ser formados a partir de secreções císticas apócrinas excessivas.

O líquido é composto por várias glicoproteínas, incluindo uma proteína exclusiva de monômero de 15 kD, GCDFP15. Relata-se que a análise citosólica do tecido normal de todos os órgãos maiores demonstrou GCDFP15 em glândulas apócrinas epiteliais, lacrimais, ceruminosas e de Moll e em várias células serosas das glândulas submandibular, traqueal, bronquial, sublingual e glândulas salivares menores.

Relata-se que o citosol proveniente de lesões de carcinoma de mama contém GCDFP15 em uma vasta gama de concentrações. Sabe-se que a concentração é maior em carcinomas mais diferenciados e a GCDFP15 exibe apenas algumas células epiteliais individuais positivas dentro dos lóbulos e pequenos dutos na mama normal. Também foi relatada a expressão em fibroadenomas dentro de áreas de metaplasia apócrina. Sabe-se que GCDFP15 e o antígeno específico da próstata são co-expressados em tumores mamários com receptor de andrógeno positivo.

Produtos

Produtos

GCDFP15-L-CE
ANTICORPO ANTI-GCDFP15 (1ML)
Checar Disponibilidade
PA0708
ANTICORPO ANTI-GCDFP15 BOND RTU (7ML)
Checar Disponibilidade
GCDFP15-L-U
1ml NCL-L-GCDFP15
Checar Disponibilidade
PA0708-U
7ml GCDFP15 Bond RTU Primary
Checar Disponibilidade

Downloads

Downloads

GCDFP15-L-CE

PA0708

GCDFP15-L-U

PA0708-U

Recently Viewed