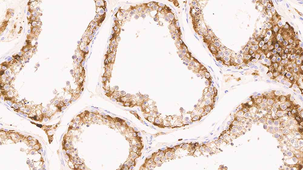
Human testis: immunohistochemical staining for inhibin alpha showing cytoplasmic staining of Sertoli cells. Inhibin Alpha: clone R1

Inibina (alfa)

Informações do antígeno

Inibinas são hormônios peptídeos produzidos pelas células granulosas em folículos femininos e por células de Sertoli nos túbulos seminíferos masculinos. Eles aparentam opor as funções das ativinas, já que inibinas e ativinas, inibem e ativam, respectivamente, a secreção de folitropina pela glândula pituitária.

A inibina tem 2 sub-unidades (alfa e beta) que são codificadas por genes separados. A sub-unidade alfa determina se a inibina ou ativina será produzida.

O anticorpo pode ser importante na diferenciação de tumores adrenocorticais, placentais e lesões trofoblásticas gestacionais e tumores de estroma de veia gonadal.

Produtos

Produtos

PA0488-U
7ml Inhibin A (R1) Bond RTU Primary
Checar Disponibilidade
INHIBINA-L-CE
ANTICORPO ANTI-INIBINA A (1ML)
Checar Disponibilidade
PA0488
7ml Inhibin A (R1) Bond RTU Primary
Checar Disponibilidade
INHIBINA-L-U
1ml NCL-L-InhibinA
Checar Disponibilidade

Downloads

Downloads

PA0488-U

INHIBINA-L-CE

PA0488

INHIBINA-L-U

Recently Viewed