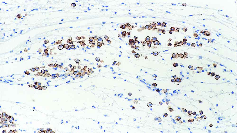
Human mesothelioma: immunohistochemical staining for Mesothelin. Note intense membrane staining of tumor cells. Mesothelin: clone 5B2

Mesotelina

Informações do antígeno

A mesotelina é uma glicoproteína ligada a glicosilfosfatidilinositol (GPI) de 40 kD presente na superfície de células mesoteliais, mesoteliomas, cânceres de ovário epiteliais, e alguns carcinomas de células escamosas.

Ela é sintetizada como um precursor de 69 kD, o qual é enzimaticamente processado na forma secretada de terminal N de 30 kD e na forma presa à membrana ligada a GPI de 40kD.

A forma secretada é idêntica ao fator potenciador de megacariócito, mas é a forma presa à membrana ligada a GPI que tem gerado interesse. Mesotelina é abundantemente expressada no rim e em ocasionais células epiteliais da traqueia, amígdala e trompa de Falópio.

A função da mesotelina é incerta mas ela pode ter um papel na adesão celular. Relata-se que a mesotelina é abundante nas células mesoteliais normais das quais, mesoteliomas malignos e cistoadenocarcinomas de ovários são derivados.

Produtos

Produtos

PA0373-U
7ml Mesothelin Bond RTU Primary
Checar Disponibilidade
MESO-L-CE
ANTICORPO ANTI-MEOTELINA (1ML)
Checar Disponibilidade
PA0373
ANTICORPO ANTI-MESOTELINA BOND RTU (7ML)
Checar Disponibilidade
MESO-L-U
1ml NCL-L-MESO
Checar Disponibilidade

Downloads

Downloads

PA0373-U

MESO-L-CE

PA0373

MESO-L-U

Recently Viewed