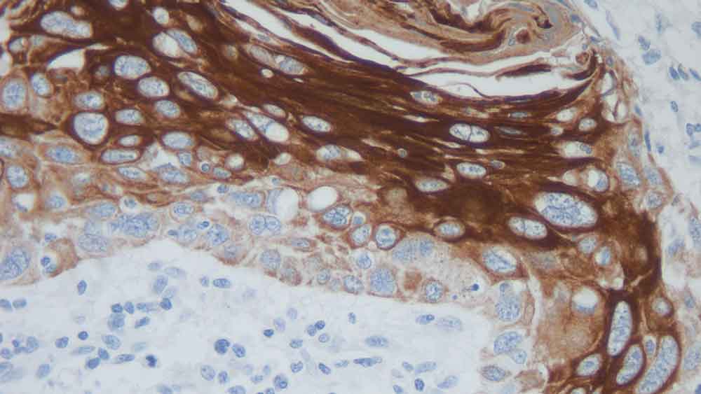
Human squamous cell carcinoma, floor of the mouth: immunohistochemical staining for Cytokeratin 17. Note cytoplasmic staining of malignant cells. Cytokeratin 17: clone E3

Citoqueratina 17

Informações do antígeno

Em tecidos normais, a citoqueratina 17 é relatada como expressa em células basais de epitélios complexos, por exemplo, células basais de epitélio pseudoestratificado na traqueia, laringe, brônquios, células mioepiteliais nas glândulas salivares e glândulas sudoríparas. No tecido neoplásico, a citoqueratina 17 é relatada como expressa em carcinomas de células escamosas do pulmão, do colo uterino e da cavidade oral.

NCL-CK17 reage com a proteína de filamento intermediário de citoqueratina ácida humana (46 kD) identificada como citoqueratina 17.

Produtos

Produtos

CK17-L-CE
1ml NCL-L-CK17
Checar Disponibilidade
PA0114
7ml Cytokeratin 17 Bond RTU Primary
Checar Disponibilidade
CK17-L-U
1ml NCL-L-CK17
Checar Disponibilidade
PA0114-U
7ml Cytokeratin 17 Bond RTU Primary
Checar Disponibilidade

Downloads

Downloads

CK17-L-CE

PA0114

CK17-L-U

PA0114-U

Recently Viewed