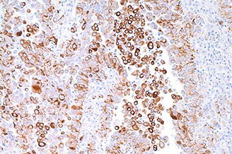
Human tonsil: immunohistochemical staining for CD10. Note membrane staining of germinal centre B cells. CD10: clone 56C6

CD10

Informações do antígeno

Antígeno CD10, também chamado neprilisina, é uma metaloendopeptidase de superfície celular de 100 kD que inativa uma variedade de peptídeos biologicamente ativos. Inicialmente se identificou como um antígeno de leucemia linfoblástica aguda comum (CALLA) e acredita-se ser específico do tumor.

Estudos subsequentes, no entanto, tem mostrado que o antígeno CD10 é expresso na superfície de uma ampla variedade de células normais e neoplásicas. Ou outras malignidades linfoides, o antígeno CD10 foi relatado como expresso nas células linfoblásticas, Burkitt e linfomas foliculares.

O antígeno CD10 tem sido identificado na superfície de células progenitoras linfoides precoces normais, células B imaturas dentro da medula óssea humana e células B do centro germinativo dentro de tecido linfoide.

Também é expresso em vários tecidos e células não linfoides, como células mioepiteliais de mama, canalículo biliar, fibroblastos, com uma expressão especialmente alta na borda cuticular renal e celular epitelial. (G. McIntosh et al. American Journal of Pathology. 154(1): 77-82 (1999)).

Produtos

Produtos

CD10-270-L-CE
ANTICORPO ANTI-CD10-270 (56C6) 1ML
Checar Disponibilidade
CD10-270-L
1ml NCL-L-CD10-270
Checar Disponibilidade
PA0131
ANTICORPO ANTI-CD10 BOND RTU (30ML)
Checar Disponibilidade
PA0270
ANTICORPO ANTI-CD10 BOND RTU (7ML)
Checar Disponibilidade
CD10-270-L-U
1ml NCL-L-CD10-270
Checar Disponibilidade
PA0270-U
7ml CD10 Bond RTU Primary
Checar Disponibilidade
PA0131-U
30ml CD10 Bond RTU Primary
Checar Disponibilidade

Downloads

Downloads

CD10-270-L-CE

CD10-270-L

PA0131

PA0270

CD10-270-L-U

PA0270-U

PA0131-U

Recently Viewed