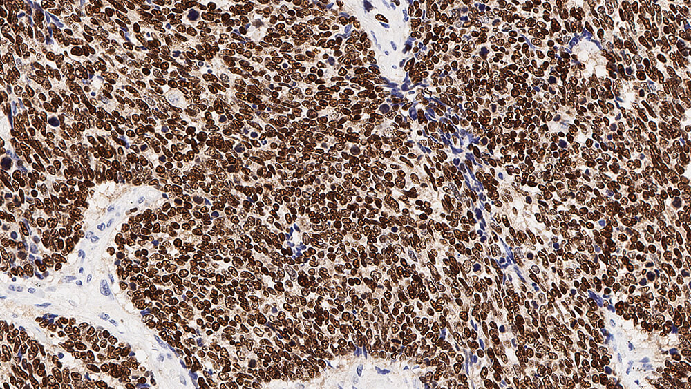
Human thyroid: immunohistochemical staining for Thyroid Transcription Factor-1. Note nuclear staining of thyroid epithelial cells. Thyroid Transcription Factor-1: clone SPT24

Fator de transcrição da tireoide 1

Informações do antígeno

O Fator de transcrição da tireoide 1 (TTF-1) é um membro da família do fator de transcrição de homeodomínio e desempenha um papel na regulação de genes expressados dentro da tireoide, pulmão e cérebro. Estes incluem a tireoglobulina, peroxidase da tireoide, proteína de secreção da célula Clara e proteínas surfactantes.

O TTF-1 humano (38 kD) é um polipeptídeo simples de 371 aminoácidos compartilhando 98% de homologia com as proteínas equivalentes do rato e do camundongo.

O TTF-1 funciona se lingando a locais de reconhecimento específicos de uma maneira que pode ser regulado tanto pelo estado redox quanto de fosforilação da proteína.

Além do seu papel como um ativador transcricional de tecido específico em órgãos adultos, o TTF-1 pode também funcionar na organogênese.

Estudos de alvos de genes mostraram que o TTF-1 é essencial para o desenvolvimento adequado da tireoide e pulmões e uma expressão anormal pode destacar um número de anormalidades congênitas.

O TTF-1 foi relatado ser expresso em mais de 90% dos carcinomas pulmonares de células pequenas e em 75% dos carcinomas pulmonares de células não pequenas, mas não é expressado em carcinoides pulmonares típicos.

Relata-se também TTF-1 expressado em carcinomas papilares, foliculares e bócio, uma tumefação não maligna da tireoide, mas não em carcinomas de tireoide anaplásticos.

Produtos

Produtos

TTF-1-L-CE
ANTICORPO ANTI-NCL-L-TTF-1 (1ML)
PA0364
7ml Anticorpo TTF-1 (SPT24) Bond RTU

Downloads

Downloads

TTF-1-L-CE

PA0364

Recently Viewed