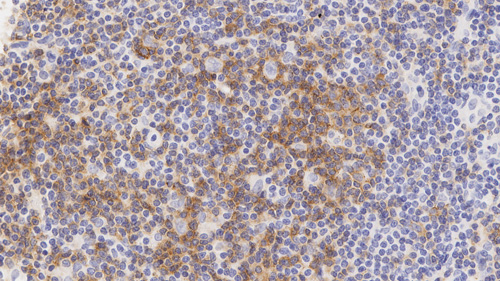
Hodgkin lymphoma: Immunohistochemistry staining of PD-1. PD-1: clone CAL20
Hodgkin lymphoma: Immunohistochemistry staining of PD-1. PD-1: clone CAL20
PD-1
PD-1 (Programmed Death 1) é um recetor de superfície celular de transmembranas 55KDa Tipo I que é expresso por células T durante a ativação. Também é suprarregulado em células B, células dendríticas, células assassinas naturais e algumas células mieloides, sugerindo um papel abrangente para PD-1 na regulação imunitária. PD-1 interage com pelo menos dois ligantes: PDL1 e PD-L2. A interação PD-1/PD-L1 é importante em muitas funções das células T, incluindo inflamação aguda e crónica, cancro e imunoterapia.
Isenções de responsabilidade A PD-1 é recomendada para a detecção de antígenos específicos de interesse em tecidos saudáveis e neoplásicos, como adjuvante da histopatologia convencional, usando colorações histoquímicas não imunológicas.
Produtos
Produtos
PA0216
7ML ANTICORPO ANTI-PD-1 (CAL20) BOND RTU
Product is out of stock
Due to manufacturing & supply chain issues, this product is currently unavailable. You may place your order and it will be fulfilled when the product is back in stock. For more help, please reach out to customer service at +1 844 534 2262 or nonurgentcs@leicabiosystems.com
Product is limited in stock
Product availability is limited, but products are in continuous production. Your order will be processed as normal and may take additional days to ship.