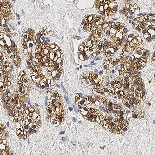
Human parathyroid adenoma: immunohistochemical staining for Parathyroid Hormone. Note membrane/cytoplasmic staining of tumor cells. Parathyroid Hormone: clone 105G7

Hormônio paratireoide

Informações do antígeno

As glândulas paratireoides são glândulas pequenas, ovais e endócrinas, diretamente associadas com a glândula tireoide. As glândulas paratireoides regulam os níveis de cálcio e fosfato no soro através do hormônio paratireoide (paratormônio).

O hormônio paratireoide aumenta os níveis de cálcio do soro diretamente, aumentando a taxa de reabsorção osteoclástica e promovendo o colapso da matriz óssea, e, indiretamente, aumentando a reabsorção tubular renal dos íons de cálcio e inibindo a reabsorção dos íons de fosfato através da filtragem glomerular, e, finalmente, promovendo a absorção de cálcio através do intestino delgado.

O hormônio paratireoide é o regulador mais importante dos níveis de cálcio no sangue. As células tronco são as células mais abundantes na glândula paratireoide e são responsáveis pela secreção do hormônio paratireoide. Anticorpos para o hormônio paratireoide juntamente com anticorpos para tireoglobulina são úteis em estudos para diferenciar lesões derivadas da paratireoide de lesões derivadas da tireoide.

Produtos

Produtos

PTH-488-L-CE
1ML ANTICORPO ANTI-NCL-L-PTH-488 (105G7)

Downloads

Downloads

PTH-488-L-CE

Recently Viewed