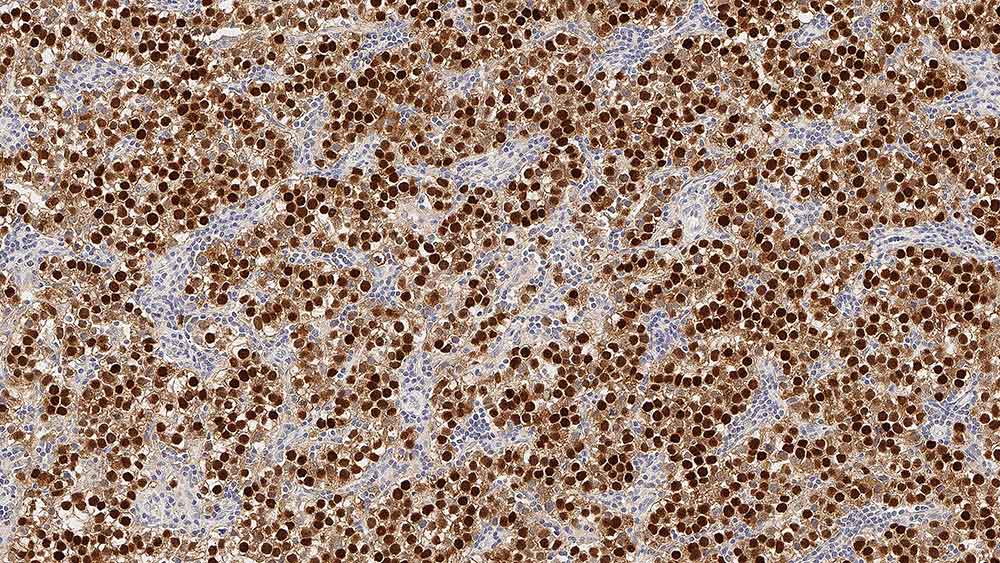
Human testes, seminoma: immunohistochemical staining for Oct-3/4. Note nuclear staining of neoplastic cells. Oct-3/4: clone N1NK

Oct-3/4

Informações do antígeno

Oct3/4 é um membro da família de homeodomínios POU de fatores de transcrição, o qual é expressado por células-tronco embrionários e células germinativas. Uma quantidade crítica de Oct3/4 é requerida para manter a auto-replicação de células-tronco. A regulação decrescente dos níveis de Oct3/4 está associada com a perda de pluripotência.

O Oct3/4 foi proposto como um marcador útil para tumores de células germinativas que exibem características de pluripotencialidade, incluindo seminomo/disgerminoma/germinoma e carcinoma embrionário, e estabelecendo uma origem de célula germinativa para alguns tumores metastáticos de tumores primários incertos.

Produtos

Produtos

OCT3/4-L-CE
1ml NCL-L-OCT3/4
PA0193
7ml Oct-3/4 (N1NK) Bond RTU Primary
PA0934
ANTICORPO ANTI-OCT3/4 CLONE: N1NK 7ML

Downloads

Downloads

OCT3/4-L-CE

PA0193

PA0934

Recently Viewed