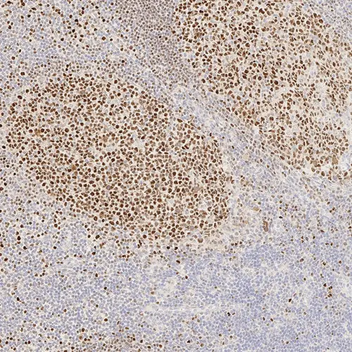
Human tonsil: immunohistochemical staining for Oct-2. Note strong staining of germinal centre B-cells. Oct-2: clone Oct-207

Oct-2

Informações do antígeno

Oct-2 é um fator de transcrição pertencente a família de homeodomínio POU que une-se aos genes específicos de células B reguladoras de locais octaédricos de gene Ig. Ele é dependente da atividade dos coativadores restritos de célula-B, tias como BOB.1/OBF.1. A expressão da proteína Oct-2 não é restrita às células B, apesar de que níveis de expressão são muito mais altos nestas células. Relatórios indicam que as células B de centro germinal mostrar expressão mais alta para Oct-2 e BOB.1/OBF.1.

Além disso, relata-se que a expressão de OCt-2 é significativamente maior em linfomas derivados de centro germinal, apesar de outros linfomas de célula B também exibirem altos níveis de expressão. Células de Reed Sternberg (RS) representam as células malignas na doença de Hodgkin clássica e são derivadas de células B de centro germinal.

Em um número destes casos, as células não expressam imunoglobulina devido à presença de mutações paralisantes dentro dos genes Ig. Como a expressão de gene Ig em células B também requer uma interação entre locais de octaédricos e os fatores transativadores Oct-2 e BOB.1, a ausência de tanto a expressão Oct-2 quando da BOB.1 representa um mecanismo atual para desregulação do gene de imunoglobulina em células de RS.

Produtos

Produtos

PA0532
ANTICORPO ANTI-OCT2 BOND RTU (7ML)

Downloads

Downloads

PA0532

Recently Viewed