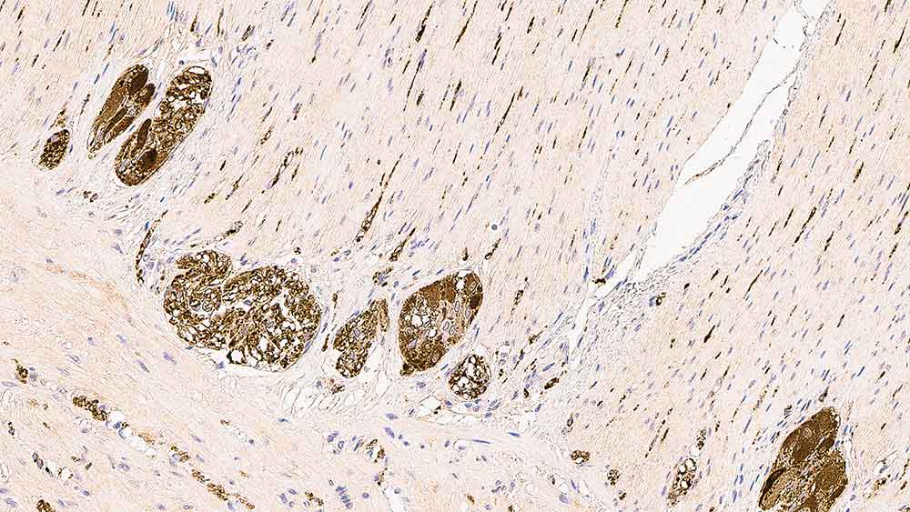
Human large bowel: immunohistochemical staining of Neuron Specific Enolase (NSE). Note the staining in the neuronal elements and the ganglia of the longitudinal and circular smooth muscle. Neuron Specific Enolase: clone 22C9

Enolase neuro-específica

Informações do antígeno

A enolase é um caminho glicolítico de enzima catalizador de reação entre 2-fosfoglicerato e piruvato de fosfoenol. Em mamíferos, as moléculas de enolase são dímeros compostos de três sub-unidades distintas (α, β e γ) enquanto que, em ratos, cinco formas foram encontradas.

A sub-unidade α e a sub-unidade γ são de aproximadamente 47 kD e 45 kD, respectivamente. As enolases γγ e αγ estão localizadas principalmente no tecido nervoso e em células neuroendócrinas.

O clone 22C9 foi desenvolvido para produzir coloração superior em seções parafinadas e reage com a sub-unidade γ da isoenzima de enolase.

O clone 5E2 reage com o componente de 47 kD da isoenzima de enolase gamma-gamma.

Produtos

Produtos

PA0435
7ML ANTICORPO ANTI-NSE (22C9) BOND RTU

Downloads

Downloads

PA0435

Recently Viewed