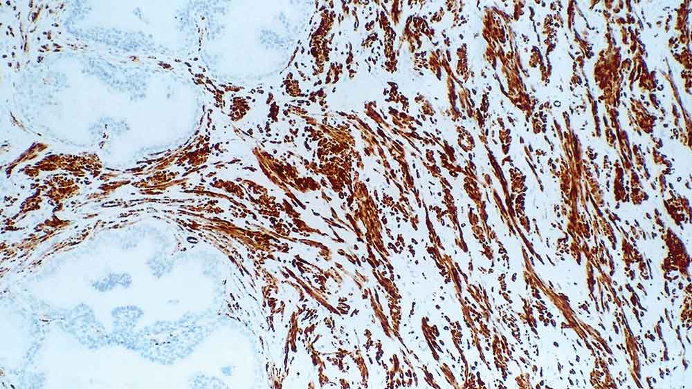
Human prostate: immunohistochemical staining for myosin heavy chain. Note intense staining of muscle fibers. Myosin Heavy Chain (smooth muscle): clone S131

Anticorpos de cadeia pesada de miosina

Informações do antígeno

A miosina é uma proteína muscular específica contrátil composta de duas cadeias pesadas e quatro leves.

A cadeia pesada de miosina tem muitas isoformas, os quais são específicos para diferentes músculos ou tipos de fibra, cujo algumas são reguladas de forma desenvolvida.

A cadeia pesada de miosina de músculo fino (SM-MHC) é uma proteína estrutural citoplasmática que é um importante componente do aparato contrátil nas células de músculo fino.

Relata-se que seja específica para desenvolvimento de músculo fino.

Produtos

Produtos

MHCD
ANTICORPO ANTI-MHCD RNMY2/9D2 (1ML)
MHCF
ANTICORPO ANTI-NCL-MHCF CLONE: WB-MHCF (
MHCN
1ml ANTICORPO NCL-MHCn (WB-MHCN)
MHCS
ANTICORPO ANTI-NCL-MHCS CLONE: WB-MHCS (
PA0493
ANTICORPO ANTI-MIOSINA,HC(RNMY2/9D2) 7ML

Downloads

Downloads

MHCD

MHCF

MHCN

MHCS

PA0493

Recently Viewed