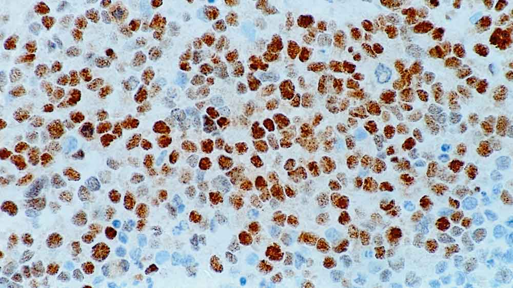
Human rhabdomyosarcoma: immunohistochemical staining for Myf-4 protein. Note staining of a proportion of tumor cell nuclei. Myogenin (Myf-4): clone LO26

Miogenina (Myf-4)

Informações do antígeno

Rabdomiossarcomas são uma classe de sarcomas de tecido macio derivados de mioblasto que geralmente expressam um número de genes específicos musculares e primeiramente afetam crianças e adultos jovens.

A diferenciação de células miogênicas é controlada por um grupo de genes reguladores incluindo MyoD1, miogenina, Myf-5 e Myf-6.

Myf-4 é o homólogo humano da miogenina. Seu produto de gene, junto com aquele do Myf-3, acumula-se no núcleo de células diferenciadas.

Produtos

Produtos

MYF-4-L-CE
1ML ANTICORPO ANTI-NCL-L-MYF-4 (LO26)
PA0226
7ml Myf-4 Bond RTU Primary

Downloads

Downloads

MYF-4-L-CE

PA0226

Recently Viewed