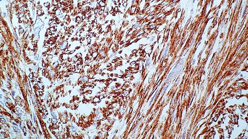
Human leiomyosarcoma: immunohistochemical staining for Muscle Specific Actin. Muscle Specific Actin: clone HHF35

Actina específica de músculo

Informações dos antígenos

Actinas são proteínas constituintes de microfilamentos, os elementos citoesqueléticos ubíquos presentes na maioria das células.

Actinas podem ser divididas bioquimicamente e imunologicamente em três sub-grupos principais: alfa-actinas estão presentes no tecido muscular, beta- e gama-actinas estão presentes em células não-musculares, com um sub-grupo menor de gama-actinas presentes em células musculares.

NCL-MSA é específica para alfa- e gama-actinas de músculo fino (42 kD), relata-se que é expressada em fibras musculares estriadas do miocárdio, músculo esquelético, parede celular arterial, revestimento muscular fino do trato gastrointestinal inteiro, músculo fino miométrico, estroma prostático e parede da bexiga.

Produtos

Produtos

MSA-594-L-CE
ANTICORPO ANTI-MSA (1ML)
PA0258
ANTICORPO ANTI-MUSCSPECACT BOND RTU CLON

Downloads

Downloads

MSA-594-L-CE

PA0258

Recently Viewed