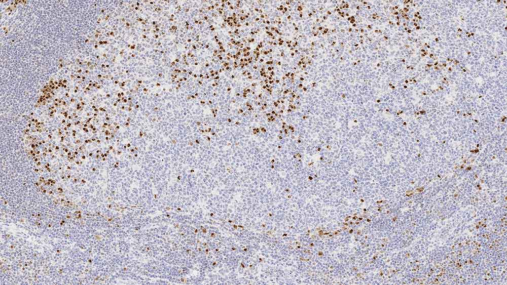
Human tonsil: immunohistochemical staining for MUM-1. Note nuclear staining of B cells showing lymphoplasmacytic differentiation. Multiple Myeloma Oncogene 1: clone EAU32

Oncogene de mieloma múltiplo 1 (MUM-1)

Informações do antígeno

O gene MUM-1 (oncogene de mieloma múltiplo 1) foi originalmente identificado por causa de seu envolvimento na translocação t(6:14) observada no mieloma múltiplo, o que causa a sobreposição do gene MUM-1 no locus da cadeia pesada Ig.

MUM-1 é expressado nos estágios direcionados de célula de plasma finais da diferenciação de célula B e em células T ativadas, sugerindo que o MUM-1 pode servir como um marcador para neoplasmas linfo-hemopoiéticos derivados destas células.

Descobriu-se que o espectro morfológico das células que expressam MUM-1 varia daquele de um centrócito para aquele de uma célula de plasma/plasmoblasto. Consequentemente o valor histogênico da MUM-1 pode ser para fornecer um marcador para auxiliar na identificação da transição de BCL-6 positivo (células B de centro germinal) para CD138 positivo (células de plasma e imunoblastos).

A expressão de MUM-1 ocorre em uma ampla variedade de neoplasmas linfoides incluindo uma proporção de linfomas de células B difusas, mas não neoplasmas mieloides ou extra-hemopoiéticos. MUM-1 é consistentemente expressada em células de mieloma, células de Reed Sternberg em doença de Hodgkin clássica e células T ativadas e neoplásticas.

Produtos

Produtos

MUM1-L-CE
ANTICORPO ANTI-MUM1 (1ML)
PA0129
ANTICORPO ANTI-MUM1 BOND RTU (7ML)

Downloads

Downloads

MUM1-L-CE

PA0129

Recently Viewed