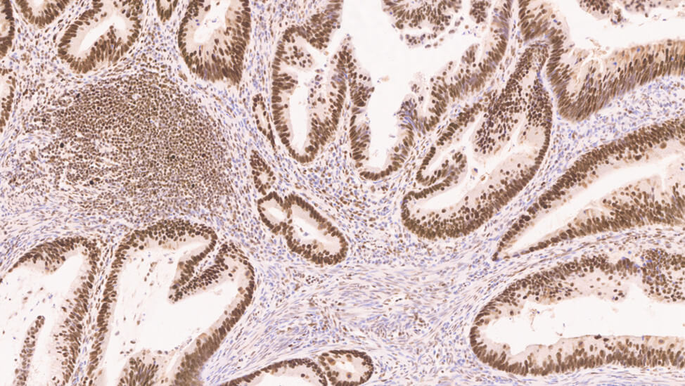
Colorectal carcinoma: immunohistochemical staining for mismatch repair protein (MLH1). Note nuclear staining in a high proportion of the malignant cells. Mismatch Repair Protein (MLH1): clone ES05.

Proteína de reparo de divergência (MLH1)

Informações do antígeno

MLH1, uma proteína de reparo de divergência, envolvida na manutenção da integridade da informação genética, em conjunto com MSH2, MSH6 e MPS2. Durante a replicação de DNA, o desalinhamento da cadeia pode ocorrer, resultando em alterações às repetições de microssatélites, frequentemente chamadas de instabilidade de microssatélite (MSI).

Estes defeitos nos caminhos de reparo do DNA foram relacionados à carcinogênese humana. Relata-se que mutações no gene MLH1 foram encontradas em tumores com MSI, tais como, algumas formas de câncer no cólon, ex. câncer de cólon sem polipose hereditário (HNPCC), um sub-grupo de carcinomas esporádicos e câncer de mama.

A perda de expressão de MLH1 também foi relatada em leucemia linfoblástica aguda, carcinoma endométrico, carcinoma gástrico e carcinoma do ovário.

Produtos

Produtos

MLH1-L-CE
ANTICORPO ANTI-MLH1
PA0988
7ML ANTICORPO ANTI-MLH1 (ES05) BOND RTU

Downloads

Downloads

MLH1-L-CE

PA0988

Recently Viewed