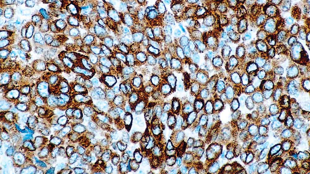
Human skin, melanoma: immunohistochemical staining for Melan A. Note the melanoma showing cytoplasmic staining of tumor cells. Melan A: clone A103

Melan A

Informações do antígeno

Melan A, um produto do gene MART-1, é um marcador de diferenciação de melanócito reconhecido por linfócitos T citotóxicos autólogos.

Relata-se que outros marcadores reconhecidos associados a melanoma por células T citotóxicas autólogas incluem MAGE-1, MAGE-3, tirosinase, gp100, gp75, BAGE-1 e GAGE-1.

A análise destas diferentes moléculas e suas expressões em melanomas individuais podem auxiliar no estudo de seus papéis moleculares particulares em diferenciação melanócita e tumorigênese.

Produtos

Produtos

MELANA-L-CE
1ML ANTICORPO ANTI-MelanA (A103)
PA0044
30ml Melan A Bond RTU Primary
PA0233
ANTICORPO ANTI-MELAN A BOND RTU CLONE: A

Downloads

Downloads

MELANA-L-CE

PA0044

PA0233

Recently Viewed