Human Epidermal Growth Factor Receptor 2 (HER2) BMA RUO

Antigen Background
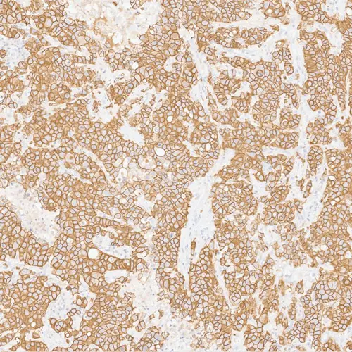
The HER2 antibody (BMA clone) was raised to a synthetic peptide corresponding to a region of the c-terminus of the mature HER2 protein attached to a carrier protein, Bovine Serum Albumin (BSA). Recommended on formalin-fixed paraffin-embedded tissue. The recommended epitope retrieval is a low-pH epitope retrieval solution.

Disclaimer
For research use only. Not for use in diagnostic procedures.
Please refer to the IFU for further information.

Produtos

Produtos

BMA-L-RUO
1ml NCL-L-BMA-RUO

Downloads

Downloads

BMA-L-RUO

Recently Viewed