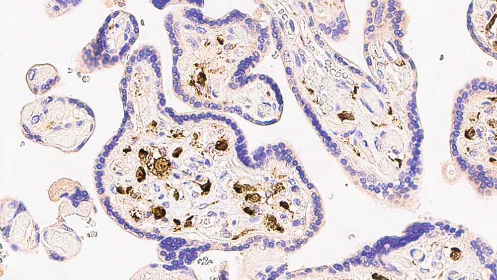
Human placenta: immunohistochemical staining of Factor XIIIa localized in the Hofbauer cells of the placental villi. Factor XIIIa (Blood Coagulation Factor XIIIa): clone E980.1

Fator XIIIa

Informações do antígeno

O Fator XIIIa, também conhecido como fator de estabilização da fibrina e fibrinoligase, é a última enzima gerada na cascata de coagulação sanguínea. É uma transglutaminase dependente de Ca2+ ou uma enzima transaminante que forma as ligações cruzadas gama-glutamil-épsilon-lisina moleculares entre as moléculas de fibrina, resultando na estabilização mecânica do coágulo de fibrina e sua resistência à proteólise.

O Fator XIIIa também pode funcionar para estabilizar as moléculas de superfície celular e as membranas. As transglutaminases dependentes de Ca2+ com centros de tiol ativos estão espalhadas pelos tecidos animais e foram associadas com a proliferação celular, desenvolvimento embriônico e crescimento através da proliferação de estroma mamário e elementos epiteliais.

O estroma mamário normal, como a maioria dos tecidos conjuntivos colagenosos, contém populações residentes de células intersticial dendríticas positivas para CD34 e dendrófagos associados ao colágeno positivos para o fator XIIIa. O fator XIIIa foi examinado para determinar sua expressão em pele normal e inflamada. As células positivas para o fator XIIIa na pele humana representam uma população específica de células dendríticas dérmicas da medula óssea, distintas das células de Langerhans, que compartilham algumas características comuns a fagócitos mononucleares.

Em condições cutâneas benignas, como dermatoses inflamatórias, por ex. eczema atópico e psoríase, foi observado um número maior de células positivas para o fator XIIIa na derme superior, associadas estritamente com linfócitos.

Produtos

Produtos

PA0449
ANTICORPO ANTI-FATOR XIIIA BOND RTU 7ML

Downloads

Downloads

PA0449

Recently Viewed