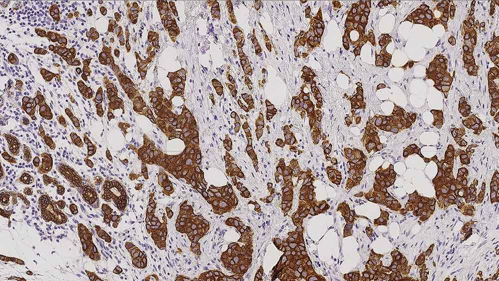
Invasive breast carcinoma: immunohistochemical staining for Cytokeratin 7. Note the intense staining of invasive tumor cells. Cytokeratin 7: clone RN7

Citoqueratina 7

Informações do antígeno

Citoqueratinas são proteínas de filamento intermediários presentes em células epiteliais. Elas são expressas em uma maneira específica do tecido em órgãos normais e nos tumores que surgem deles. A citoqueratina 7 pertence à subfamília do tipo B básico neutro de citoqueratinas. Sua distribuição está confinada ao epitélio glandular e transicional. Relata-se a expressão da citoqueratina 7 em abundância em culturas de células bronquiais e mesoteliais, mas apenas em níveis mais baixos em culturas de células epidérmicas.

A sequência de aminoácidos prevista para esta queratina revelou uma diferença impressionante entre esta queratina e as queratinas do tipo II expressas em células epidérmicas. Relatou-se a presença da citoqueratina 7 em adenocarcinomas do pulmão, mama, endométrio, ovário, tireoide, assim como em carcinomas da bexiga e carcinoma celular renal cromófobo. Relatou-se que a expressão da citoqueratina 7 e da citoqueratina 20 exibiu padrões característicos em adenocarcinomas colorretais e pulmonares primários e metastáticos.

Enquanto o clone OV-TL 12/30 pode produzir coloração indesejada das células endoteliais, o clone RN7 não colore este tipo de célula. A opção de recuperação de epítopos, calor ou enzima, com o objetivo de obter o melhor resultado com o clone OV-TL 12/30 deve ser determinara pelo usuário. Os clones RN7, OV-TL 12/30 e LP5K reagem com a proteína de filamento intermediário da citoqueratina humana (54 kD), identificada como queratina 7.

Produtos

Produtos

CK7-560-L-CE
ANTICORPO ANTI-CITOKERATINA 7 (1ML)
CK7-OVTL-L-CE
1ML ANTICORPO ANTI-CITOKERATINA 7 - OVTL
PA0138
30ml Cytokeratin 7 Bond RTU Primary
PA0942
7ML ANTICORPO CITOKERATINA 7 BOND RTU

Downloads

Downloads

CK7-560-L-CE

CK7-OVTL-L-CE

PA0138

PA0942

Recently Viewed