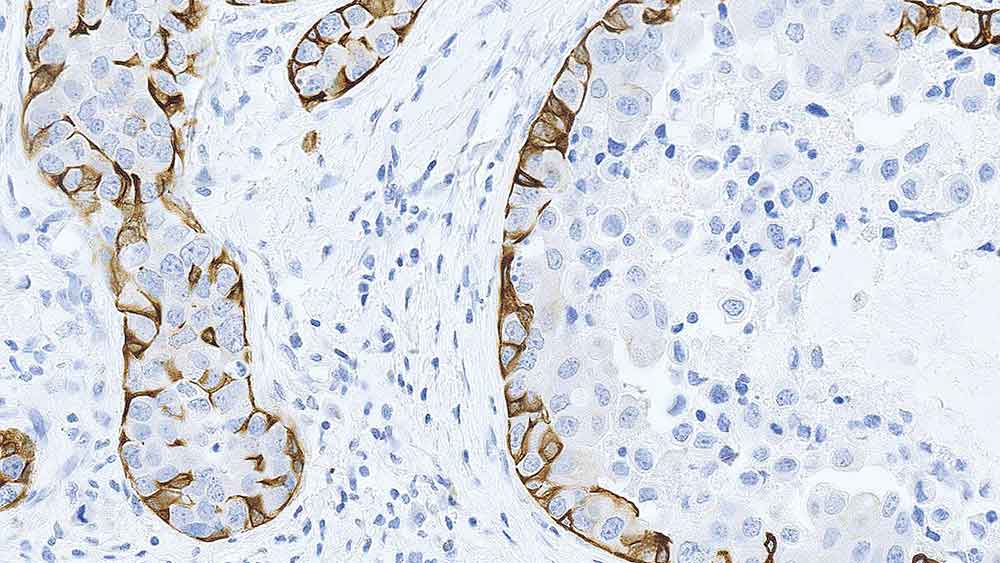
Human breast, ductal carcinoma in situ: immunohistochemical staining for Cytokeratin 5. Note the intense staining of myoepithelial cells. Cytokeratin 5: clone XM26
Human breast, ductal carcinoma in situ: immunohistochemical staining for Cytokeratin 5. Note the intense staining of myoepithelial cells. Cytokeratin 5: clone XM26
Cytokeratin 5
CK5 é uma proteína de 58 kD que está intimamente relacionada à CK6.
A CK5 é expressa em muitos epitélios escamosos
estratificados não queratinizados, incluindo: epitélio basal, folículos pilosos, traqueia, mucosa da língua, bem como células basais em glândulas da próstata e células mioepiteliais em glândulas
mamárias.
A proteína CK5 é também encontrada na maioria dos mesoteliomas epiteliais e bifásicos, em carcinomas de grandes células e carcinomas de células escamosas
pulmonares.
O clone XM26 é específico para o filamento intermediário da proteína citoqueratina 5 de 58 kD, sem reatividade cruzada com a citoqueratina 6.
Produtos
Produtos
CK5-L-CE
ANTICORPO ANTI-CITOKERATINA 5 (1ML)
Product is out of stock
Due to manufacturing & supply chain issues, this product is currently unavailable. You may place your order and it will be fulfilled when the product is back in stock. For more help, please reach out to customer service at +1 844 534 2262 or nonurgentcs@leicabiosystems.com
Product is limited in stock
Product availability is limited, but products are in continuous production. Your order will be processed as normal and may take additional days to ship.
This item replaces
CK5-CECK5-CE-SCK5-L-CE-SCK5-L-SCK5-R-7-CECK5-L-CE-HCK5-L-HCK5-L