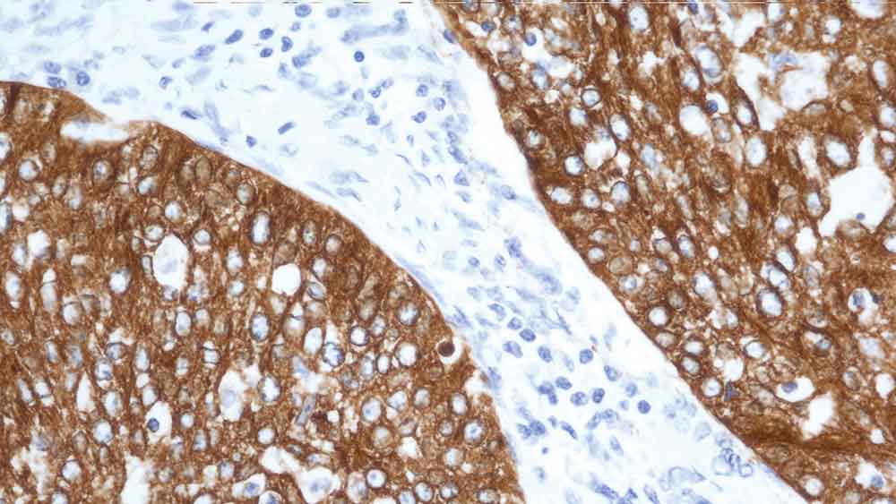
Human rectal adenocarcinoma: immunohistochemical staining for Cytokeratin 19. Note: cytoplasmic staining of malignant epithelial cells. Cytokeratin 19: clone b170

Citoqueratina 19

Informações do antígeno

A proteína de filamento de citoqueratina humana menor (40 kD), foi identificada como citoqueratina 19 e foi reportada como expressa em um grande número de tipos de células epiteliais, incluindo muitos epitélios ductais e glandulares.

NCL-CK19 produz um padrão de coloração heterogênea complexa em epitélio escamoso não-queratinizado e folículos pilosos, com forte coloração da camada basal observada.

Produtos

Produtos

PA0799
ANTICORPO CITOKERATINA 19 BOND RTU (7ML)

Downloads

Downloads

PA0799

Recently Viewed