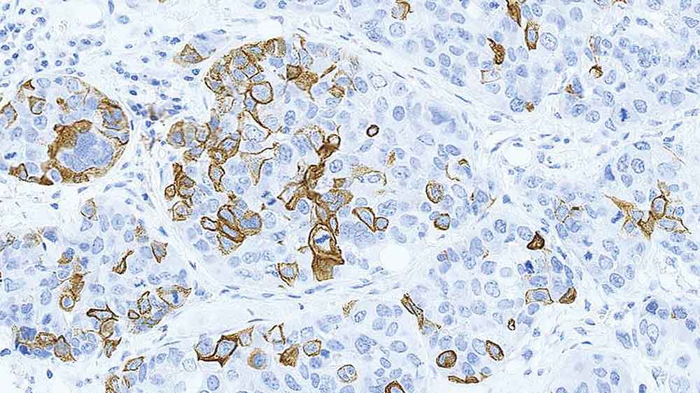
Invasive breast cancer: immunohistochemical staining for the Cytokeratin 14. Note the intense, clean staining of a proportion of tumor cells. Cytokeratin 14: clone LL002

Citoqueratina 14

Informações do antígeno

As citoqueratinas 14 e 5 são úteis para distinguir tipos de células epiteliais estratificadas de tipos de células epiteliais simples.

A citoqueratina 14 tem sido relatada como expressa em neoplasias de origem de células escamosas.

O clone LL002 reage com a proteína de filamento intermediário de citoqueratina humana (50 kD), identificada como citoqueratina 14.

Produtos

Produtos

LL002-L-CE
ANTICORPO ANTI-CITOKERATINA 14 (1ML)
PA0074
ANTICORPO ANTI-CITOKERATINA 14 BOND RTU

Downloads

Downloads

LL002-L-CE

PA0074

Recently Viewed