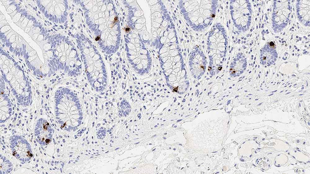
Human small bowel: immunohistochemical staining for Chromogranin A. Note cytoplasmic staining of neuroedocrine cells. Chromogranin A: clone 5H7

Cromogranina A

Informações do antígeno

A cromogranina A é uma proteína acídica de 68 kD cuja expressão é relatada em grandes quantidades em tecidos neurais e em grânulos secretores de células endócrinas humanas, como a glândula paratireoide, medula suprarrenal, hipófise anterior, células das ilhotas pancreáticas e células C da tireoide.

A expressão da cromogranina A foi relatada em tumores neuroendócrinos como adenomas da hipófise, tumores de células das ilhotas, feocromocitomas, carcinomas medulares da tireoide, tumores das células de Merkel e carcinoides.

Produtos

Produtos

CHROM-430-L-CE
1ml ANTICORPO ANTI-NCL-L-CHROM-430 5H7
PA0515
ANTICORPO CHROMOGRANINA A (5H7) BOND 7ML

Downloads

Downloads

CHROM-430-L-CE

PA0515

Recently Viewed