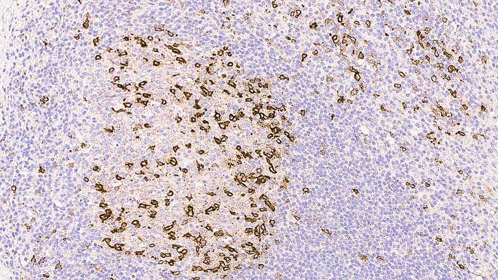
Human tonsil: immunohistochemical staining for CD79b. Note intense membrane staining of B cells. CD79b: clone JS01

CD79b

Informações do antígeno

CD79b, também conhecida como B29 e Ig-β, é acreditada funcionar na ativação celular e de sinalização, que ocorre quando a imunoglobulina (Ig) superficial nas células B se liga ao antígeno ou torna-se reticulada pelo anticorpo anti-Ig. Esta função ocorre com a formação de um complexo de sinalização da membrana que está associado com a Ig na superfície de células B.

CD79b, junto com CD79a, forma o complexo receptor de antígeno de célula B (mlg). A expressão CD79b é relatada ser encontrada em 80 a 90% das neoplasias de células B maduras, com exceção da leucemia linfocítica crônica.

Produtos

Produtos

CD79B-L
1ml NCL-L-CD79b

Downloads

Downloads

CD79B-L

Recently Viewed