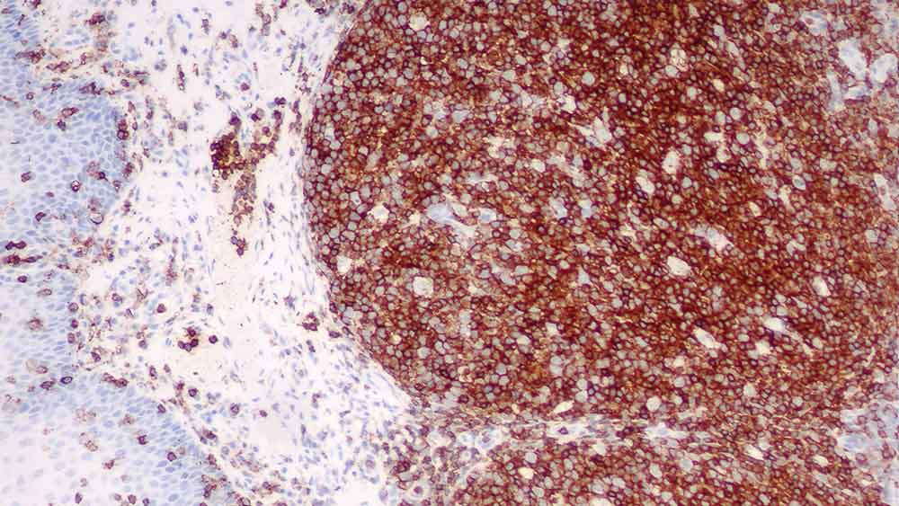
Human tonsil: immunohistochemical staining of CD45 or leukocyte common antigen (LCA) in various hematolymphoid cells. CD45: clone X16/99

CD45

Informações do antígeno

O antígeno CD45 (antígeno comum de leucócitos) é uma família de cinco ou mais glicoproteínas de elevado peso molecular presentes na superfície da maioria dos leucócitos humanos (incluindo monócitos, linfócitos e eosinófilos), mas ausente de eritrócitos e plaquetas.

Várias isoformas de CD45 são geradas por splicing alternativo de três éxons. A expressão de CD45 é necessária para a sinalização através do receptor da célula T. NCL-LCA-RP é uma combinação de dois anticorpos, clone RP2/18 e RP2/22.

A técnica de recuperação termoinduzida de epítopo (HIER), pode melhorar a coloração em alguns casos com NCL-LCA-RP, NCL-L-LCA-RP e RTU-LCA-RP.

Produtos

Produtos

LCA-L-CE
ANTICORPO ANTI-CD45 LCA (1ML)
PA0042
ANTICORPO ANTI-CD45 BOND RTU (7ML)

Downloads

Downloads

LCA-L-CE

PA0042

Recently Viewed