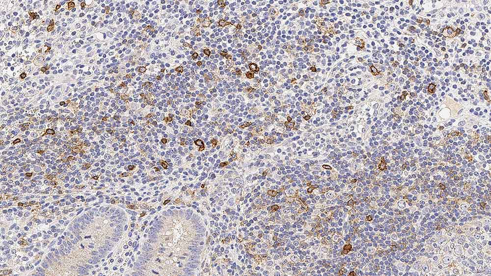
Human appendix: immunohistochemical staining for CD25. Note staining of activated lymphocytes. CD25: clone 4C9

CD25

O antígeno CD25, a subunidade alfa do receptor de interleucina-2, é uma glicoproteína de cadeia simples com massa molecular de 55 kD. Após a ativação das células T, a interleucina-2 (IL-2) é rapidamente sintetizada e secretada.

Em resposta a isto, uma subpopulação de células T expressa receptores de alta afinidade para a IL-2. Estas células se proliferam, expandindo a população de células T, que é capaz de mediar as funções de cooperador, supressor e citotóxico.

O receptor de IL-2 não é encontrado exclusivamente em células T e sua expressão é relatada em células T e B transformadas por HTLV, células B transformadas por EBV, precursores mieloides e oligodendrócitos. Está ausente em timócitos, células T de repouso, células B não ativadas e células nulas.

Relata-se que a expressão do receptor IL-2 está associada com condições inflamatórias e malignas, neoplasia linfoide, doenças autoimunes e rejeição a aloenxertos.

Produtos

Produtos

PA0305
ANTICORPO ANTI-CD25 BOND RTU (7ML)

Downloads

Downloads

PA0305

Recently Viewed