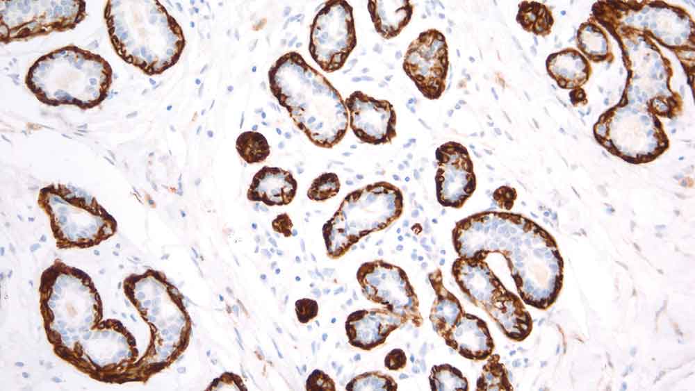
Human prostate: immunohistochemical staining for Calponin (Basic). Note staining of basal cells. Calponin (Basic): clone 26A11

Calponina (Básica)

Informações do antígeno

A calponina básica (calponin-h1) é uma proteína de 34 kD que exibe um alto grau de homologia às calponinas ácidas e neutras na sua região do terminal N. É uma proteína de ligação a actina, tropomiosina e calmodulina, acreditada estar envolvida na regulação da contração do músculo liso.

A expressão da calponina básica é relatada ser restrita a células do músculo liso e é um marcador do fenótipo contrátil diferenciado do músculo liso em desenvolvimento. As células do músculo liso vascular convertem a um fenótipo diferenciado sintético quando esta proteína é perdida e este é um estágio chave na arteriosclerose e restenose da artéria coronária depois da angioplastia de balão.

Acredita-se que a calponina básica exerce seu efeito através do citoesqueleto de actina cortical e consequentemente influencia a proliferação, o fenótipo transformado e o potencial metastásico de células tumorais.

A calponina básica do mRNA é expressa no músculo liso da próstata, intestino e aorta, enquanto que os mRNAs das calponinas neutras e ácidas são expressos em tecidos musculares não lisos, tais como coração, placenta, pulmão, rim, pâncreas, baço, testículos e ovários, bem como nos tecidos contendo músculos lisos.

Produtos

Produtos

PA0416
7ML ANTICORPO ANTI-CALPONINA B BOND RTU

Downloads

Downloads

PA0416

Recently Viewed