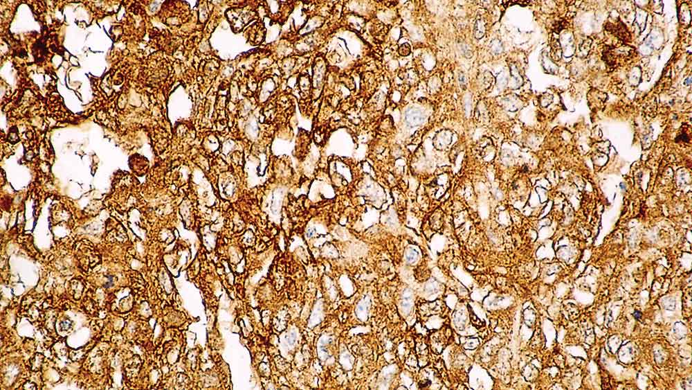
Human fetal liver: immunohistochemical staining for Alpha Fetoprotein. Note cytoplasmic of hepatocytes. Alpha Fetoprotein: clone C3

Alfa-fetoproteína

Informações do antígeno

Alfa-fetoproteína (AFP) é um antígeno oncofetal de 70 kD encontrado em fluidos corporais, os quais, se detectados em altas concentrações têm implicações clínicas.
AFP é expressada em fígado fetal mas não está presente sob circunstâncias normais em tecidos adultos saudáveis. Relata-se que ela seja expressada em uma proporção de tumores de célula de germe, com alta frequência em tumores do saco vitelino.

Produtos

Produtos

AFP-L-CE
1ML ANTICORPO ANTI-AFP (C3)
PA0963
7ML ANTICORPO ANTI-AFP (C3) BOND RTU

Downloads

Downloads

AFP-L-CE

PA0963

Recently Viewed