Leica ChromoPlex 1 Dual Detection for BOND

A habilidade de ver marcadores múltiplos em uma lâmina pode dar mais percepções em diagnósticos, particularmente quando o tecido está limitado.

Multiplique suas capacidades com o ChromoPlex 1 detecção dupla para BOND O único sistema de detecção de coloração paralela de 1 etapa totalmente automatizada.

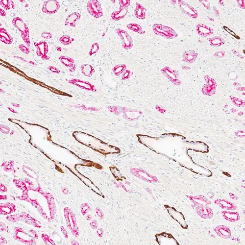
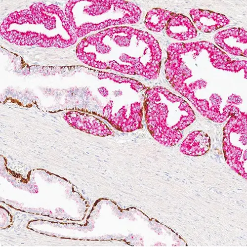
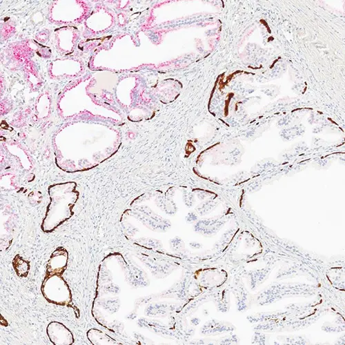
  • Cromógenos vermelhos e marrons estáveis em um kit de detecção
  • Para uso com coquetéis disponíveis comercialmente e auto-validado
  • Anticorpos de coelhos corados de vermelho e anticorpos de camundongos colorados de marrom – rAP e MHRP
  • Coloração marrom e vermelha clara nítida, permitindo uma facilidade excelente de interpretação
  • Superior para métodos de coloração dupla sequencial*
  • Disponível em ambos os formatos de testes 100 e NOVO 50, para se adequar às suas necessidades de fluxo de trabalho.

*número de estudo Leica PE0016

Produtos

Produtos

DS9665
ChromoPlex 1 Dual Detection - 50 Test
DS9477
ChromoPlex 1 Dual Detection for BOND
DS9397
BOND-PRIME ChromoPlex 1 Dual Detection

Downloads

Downloads

DS9665

DS9477

DS9397

Recently Viewed