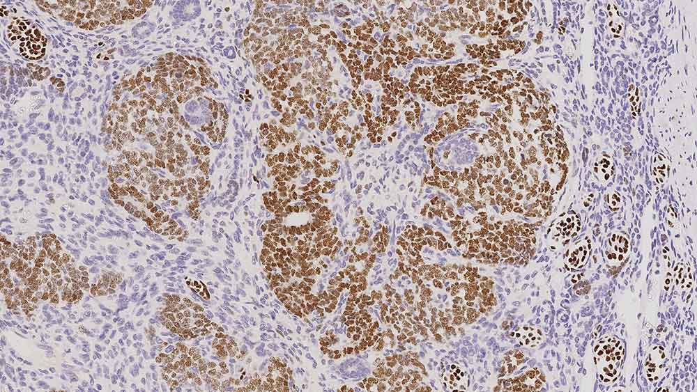
Human kidney: immunohistochemical staining for Wilms' tumor. Note the nuclear staining of invasive tumor cells. Wilms' Tumor: clone WT49

Wilms' Tumor

Antigen Background

Wilms' tumor protein (WT1) has a role in transcriptional regulation and is expressed in the kidney and a subset of hematopoietic cells. Alteration of transcription factor function is a common mechanism in oncogenesis. The WT1 protein contains a DNA binding domain and any deletions or point mutations of the WT1 gene which destroy this activity result in the development of the childhood nephroblastoma Wilms' tumor and Denys-Drash syndrome. The description of WT1 involvement in nephroblastoma is not clear.

Disclaimer

Wilms' Tumor is recommended for the detection of specific antigens of interest in normal and neoplastic tissues, as an adjunct to conventional histopathology using non-immunologic histochemical stains.

Produtos

Produtos

WT1-562-L-CE
1ml NCL-L-WT1-562
PA0562
7ml Wilms Tumor Bond RTU Prim

Downloads

Downloads

WT1-562-L-CE

PA0562

Recently Viewed