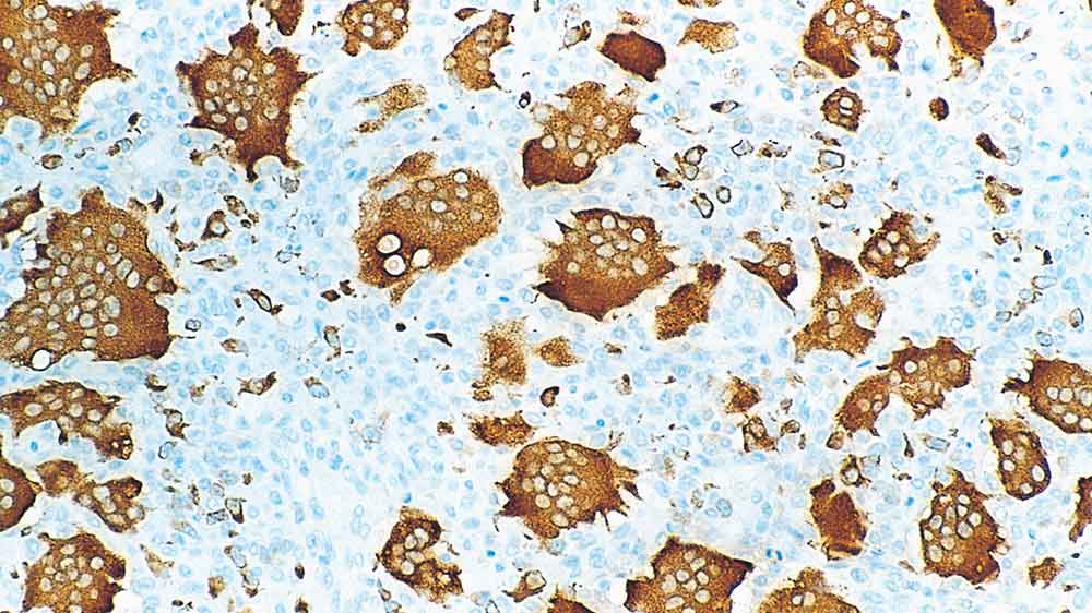
Malignant Melanoma: Immunohistochemistry staining of S-100B scanned using the Aperio AT2. Nuclear and cytoplasmic staining in tumor cells. S-100B: clone EP32
Malignant Melanoma: Immunohistochemistry staining of S-100B scanned using the Aperio AT2. Nuclear and cytoplasmic staining in tumor cells. S-100B: clone EP32
S-100
Antigen Background
S-100A and S-100B proteins are two members of the S-100 family of proteins. S-100A subtypes are composed of one alpha and one beta chain, whereas S-100B is composed of two beta chains. S-100 protein is reported to be expressed in neuroectodermal tissue, including nerves and melanocytes. Langerhans cells in skin are also reported to express S-100 protein. It is noteworthy that S-100 protein is highly soluble and may be eluted from frozen tissue during immunohistochemical procedures.
Product Specific Information
Clone EP32 was raised against S-100 beta protein. Immunoreactivity was observed in neuroectodermal tissue e.g. melanocytes, nerve fibres, dendritic cells, adipocytes and a percentage of macrophages, lymphocytes and plasma cells.
Disclaimer
S-100 is recommended for the detection of specific antigens of interest in normal and neoplastic tissues, as an adjunct to conventional histopathology using non-immunologic histochemical stains.
Produtos
Produtos
PA0031
7mL S-100 (EP32) BOND RTU Primary
Product is out of stock
Due to manufacturing & supply chain issues, this product is currently unavailable. You may place your order and it will be fulfilled when the product is back in stock. For more help, please reach out to customer service at +1 844 534 2262 or nonurgentcs@leicabiosystems.com
Product is limited in stock
Product availability is limited, but products are in continuous production. Your order will be processed as normal and may take additional days to ship.