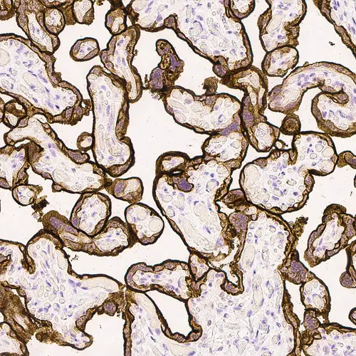
Human placenta: immunohistochemical staining for Epidermal Growth Factor Receptor. High expression of EGFR localized in the trophoblastic layer of the placental villi. Epidermal Growth Factor Receptor: clone EGFR.113
Human placenta: immunohistochemical staining for Epidermal Growth Factor Receptor. High expression of EGFR localized in the trophoblastic layer of the placental villi. Epidermal Growth Factor Receptor: clone EGFR.113
Epidermal Growth Factor Receptor
Antigen Background Epidermal Growth Factor Receptor (EGFR) is a transmembrane protein receptor of 170 kD with tyrosine kinase activity. Increased levels of EGFR are reported to be linked with malignant transformation of squamous cells e.g., in squamous cell carcinoma of the lung, head, neck, skin, cervix and esophagus. EGFR may also play a role in the development and progression of hepatocellular carcinomas where recurrence rates are higher in EGFR-positive cases. This correlation has similarly been reported in colorectal cancers where EGFR, produced by tumor cells, plays an important role in the invasiveness and proliferation of colorectal cancers. The majority of published studies of EGFR expression in human breast cancer has similarly shown an association with EGFR expression where it is inversely related to estrogen receptor status.
Product Specific Information Clone EGFR.113 is raised to the extracellular domain of the EGFR molecule.
Disclaimer Epidermal Growth Factor Receptor is recommended for the detection of specific antigens of interest in normal and neoplastic tissues, as an adjunct to conventional histopathology using non-immunologic histochemical stains.
Produtos
Produtos
EGFR-L-CE
1ml NCL-L-EGFR
Product is out of stock
Due to manufacturing & supply chain issues, this product is currently unavailable. You may place your order and it will be fulfilled when the product is back in stock. For more help, please reach out to customer service at +1 844 534 2262 or nonurgentcs@leicabiosystems.com
Product is limited in stock
Product availability is limited, but products are in continuous production. Your order will be processed as normal and may take additional days to ship.
This item replaces
EGFREGFR-384EGFR-384-CEEGFR-384-CE-SEGFR-384-LEGFR-384-L-CEEGFR-384-R-7EGFR-384-SEGFR-CEEGFR-CE-SEGFR-L