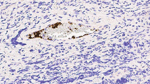
Human tonsil: immunohistochemical staining of CD61 antigen (GPIIIa) on platelets within the blood vessel. CD61 (GPIIIa): clone 2f2

CD61 (GPIIIa)

Antigen Background

The CD61 antigen, also known as GPIIIa, is a glycoprotein of 105 kD found on platelets, monocytes, endothelial cells, smooth muscle cells, B cells, macrophages, mast cells and fibroblasts. CD61 antigen plays a role in platelet aggregation and also as a receptor for fibrinogen, fibronectin, von Willebrand factor and vitronectin. Individuals with Glanzmann's thrombasthenia are reported to express little or no CD61 antigen. CD61 antigen is also reported to be expressed in most cases of megakaryocytic leukemias.

Disclaimer

CD61 (GPIIIa) is recommended for the detection of specific antigens of interest in normal and neoplastic tissues, as an adjunct to conventional histopathology using non-immunologic histochemical stains.

Produtos

Produtos

PA0308
7ml CD61 Bond RTU Primary

Downloads

Downloads

PA0308

Recently Viewed