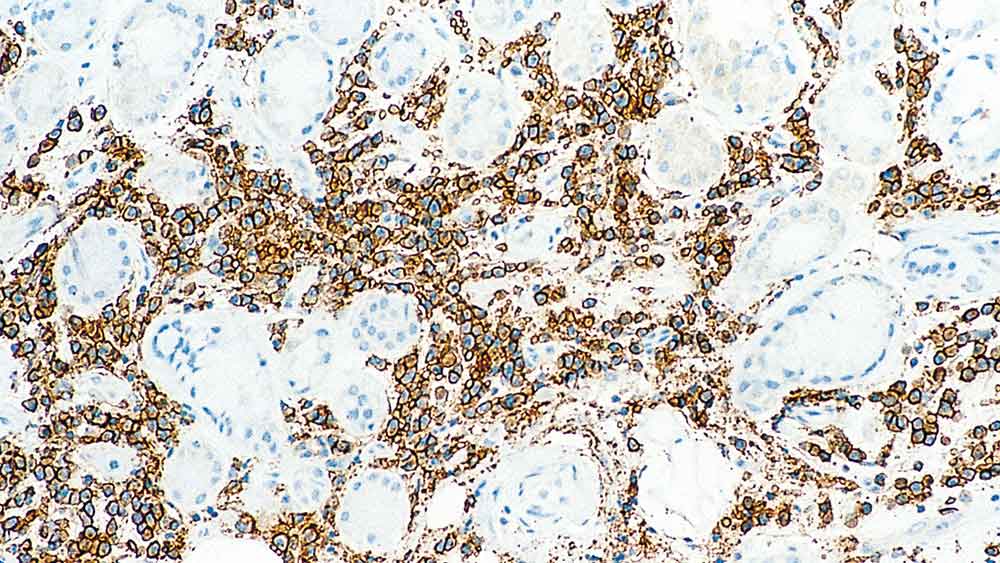
Chronically inflamed human bronchus: immunohistochemical staining CD38. Note intense membrane staining of infiltrating activated T lymphocytes. CD38: clone SPC32

CD38

Antigen Background

The CD38 molecule is a type II single transmembrane glycoprotein with a molecular weight of 46 kD. It is an ectoenzyme with the activities of ADP-ribosyl cyclase, cyclic ADP-ribose hydrolase, NAD glycohydrolase and is involved in both the formation and hydrolysis of cADPR, a second messenger that regulates the mobilization of intracellular Ca2+ ions. Although the CD38 molecule was originally identified as a T lymphocyte differentiation antigen, it is reported to be expressed in a wide range of cells and tissues. CD38 antigen can deliver potent growth and differentiation signals to lymphoid and myeloid cells. It is found on immature cells of the B and T cell lineages but not on most mature resting peripheral lymphocytes. It is also present on thymocytes, pre-B cells, germinal center B cells, mitogen-activated T cells, Ig-secreting plasma cells, monocytes, NK cells, erythroid and myeloid progenitors in the bone marrow and brain cells. CD38 antigen has also been reported in neurofibrillary tangles, the pathological indicator of Alzheimer's disease that occurs in the neuronal perikarya and proximal dendrites.

Disclaimer

CD38 is recommended for the detection of specific antigens of interest in normal and neoplastic tissues, as an adjunct to conventional histopathology using non-immunologic histochemical stains.

Produtos

Produtos

CD38-290-L-CE
1ml NCL-L-CD38-290

Downloads

Downloads

CD38-290-L-CE

Recently Viewed