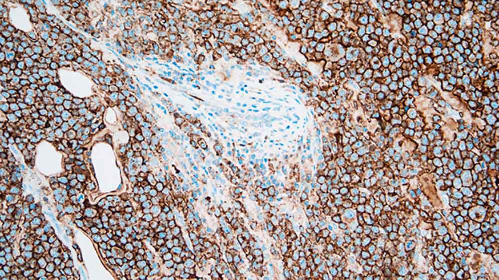
Plasmacytoma: immunohistochemical staining for CD138. Note the intense membrane staining of tumor cells. CD138: clone MI15

CD138 (Syndecan 1)

Antigen Background

The CD138 molecule is a transmembrane heparan sulphate glycoprotein expressed at distinct stages of differentiation in normal lymphoid cells such as pre-B cells, immature B cells and Ig-producing plasma cells as well as being expressed in stratified and simple epithelia. The loss of CD138 expression from atypical cells is reported to be an early event during cervical carcinogenesis whereas CD138 antigen expression shows a close association with preserved epithelial morphology and differentiation; however, the major utility of CD138 as a marker in immunohistochemistry is the quantification of plasma cells.

Disclaimer

CD138 (Syndecan 1) is recommended for the detection of specific antigens of interest in normal and neoplastic tissues, as an adjunct to conventional histopathology using non-immunologic histochemical stains.

Produtos

Produtos

PA0088
7ml CD138 Bond RTU Primary

Downloads

Downloads

PA0088

Recently Viewed