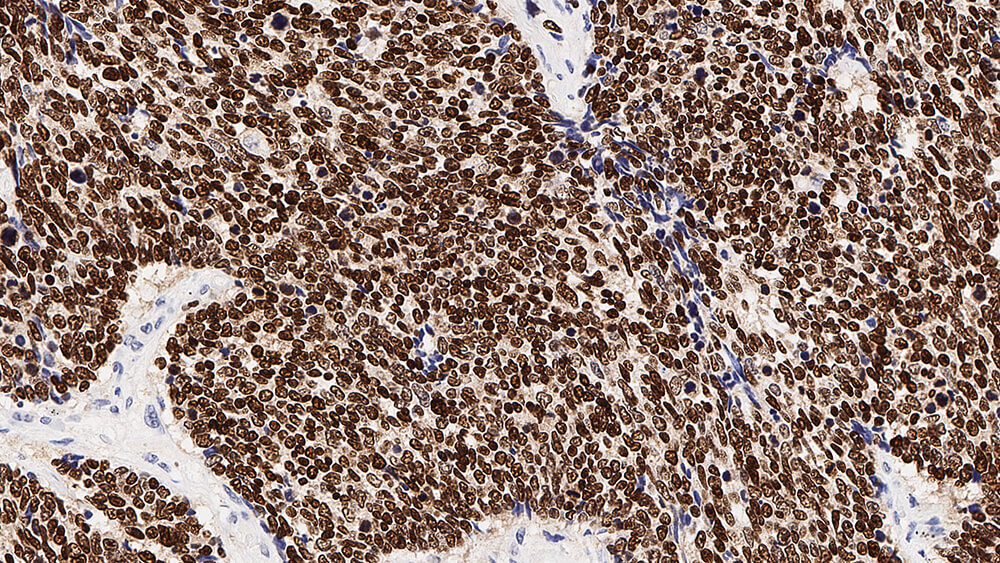
Human thyroid: immunohistochemical staining for Thyroid Transcription Factor-1. Note nuclear staining of thyroid epithelial cells. Thyroid Transcription Factor-1: clone SPT24

Thyroid Transcription Factor-1

Antigen Background

Thyroid Transcription Factor-1 (TTF-1) is a member of the homeodomain transcription factor family and plays a role in regulating genes expressed within the thyroid, lung and brain. These include thyroglobulin, thyroid peroxidase, Clara cell secretory protein and surfactant proteins. Human TTF-1 (38 kD) is a single polypeptide of 371 amino acids sharing 98% homology with the equivalent rat and mouse proteins. TTF-1 functions by binding to specific recognition sites in a manner that may be regulated by both the redox and phosphorylation status of the protein. In addition to its role as a tissue-specific transcriptional activator in adult organs, TTF-1 may also function in organogenesis. Gene targeting studies have shown TTF-1 to be essential for the proper development of the thyroid and lungs and abnormal expression may underline a number of congenital abnormalities.


Disclaimer

Thyroid Transcription Factor-1 is recommended for the detection of specific antigens of interest in normal and neoplastic tissues, as an adjunct to conventional histopathology using non-immunologic histochemical stains.

제품

제품

TTF-1-L-CE
1ml NCL-L-TTF-1
국가 가용성
PA0364
7ml TTF-1 Bond RTU Primary
국가 가용성
TTF-1-L-U
1ml NCL-L-TTF-1
국가 가용성
PA0364-U
7ml TTF-1 Bond RTU Primary
국가 가용성

Downloads

Downloads

TTF-1-L-CE

PA0364

TTF-1-L-U

PA0364-U

Recently Viewed