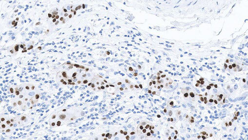
Breast carcinoma: immunohistochemical staining of Progesterone Receptor. Note the nuclear staining in a proportion of tumor cells. Progesterone Receptor: clone 16

Progesterone Receptor

Antigen Background
The human progesterone receptor (PR) is expressed as two isoforms, PRA (94 kD) and PRB (114 kD), which function as ligand-activated transcription factors. These two isoforms are transcribed from distinct estrogen receptor (ER)-inducible promoters within a single copy PR gene.

The PRA form is a truncated version of the PRB form, lacking the first 164 N-terminal amino acids. In humans, PRA acts as a transdominant repressor of the transcriptional activity of PRB, glucocorticoid receptor, ER, androgen receptor and mineralocorticoid receptor.PRB functions mainly as a transcriptional activator. PRB is expressed strongly in endometrial glandular and stromal nuclei in the proliferative phase of the menstrual cycle and weakly during the secretory phase and early pregnancy.

Product Specific Information
Clone 16 is specific for a region of the N-terminus of the A form of PR. The precise epitope has not been mapped but it reacts with both A and B forms of PR by Western blot but only with the A form by immunohistochemistry. This suggests that the epitope is inaccessible in the native folded B form of the protein.

Disclaimer
Progesterone Receptor is recommended for the detection of specific antigens of interest in normal and neoplastic tissues, as an adjunct to conventional histopathology using non-immunologic histochemical stains.

제품

제품

PGR-312-L-CE-S
0.1ml NCL-L-PGR-312
국가 가용성
or REQUEST a bulk quote.
PGR-312-L-CE
1ml NCL-L-PGR-312
국가 가용성
PGR-312-L-F
1ml NCL-L-PGR-312 Class II
국가 가용성
PGR-312/2-L-CE
2ml NCL-L-PGR-312/2
국가 가용성
PA0312
7ml PR Bond RTU Primary
국가 가용성
PA0436
30ml PR Bond RTU Primary
국가 가용성
PA0312-U
7ml PR Bond RTU Primary
국가 가용성
PA0436-U
30ml PR Bond RTU Primary
국가 가용성

Downloads

Downloads

PGR-312-L-CE-S

PGR-312-L-CE

PGR-312-L-F

SDS
PGR-312/2-L-CE

PA0312

PA0436

PA0312-U

PA0436-U

Recently Viewed