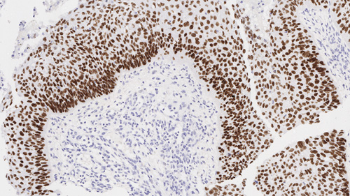
Squamous cell carcinoma of lung: Immunohistochemistry staining of p40. p40: clone BC28

p40

Antigen Background
p40 (Delta Np63) is a truncated product of p63. It is normally expressed in the basal or progenitor cell layer of stratified epithelia, basal cells of prostate, as well as myoepithelial cells of breast and salivary glands, and cytotrophoblasts in placenta, and shows a nuclear staining pattern with IHC. Among the numerous neoplasms positive for p40, squamous cell carcinomas of pulmonary and non-pulmonary origin can be identified from other malignancies.

Disclaimer
p40 is recommended for the detection of specific antigens of interest in normal and neoplastic tissues, as an adjunct to conventional histopathology using non-immunologic histochemical stains.

제품

제품

PA0163
7mL p40 (BC28) Bond RTU Primary
국가 가용성
PA0163-U
7ml p40 (BC28) Bond RTU Primary
국가 가용성

Downloads

Downloads

PA0163

PA0163-U

Recently Viewed