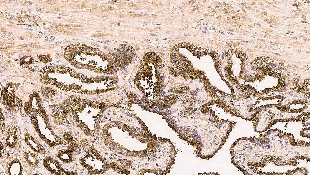
Prostate carcinoma: immunohistochemical staining of Galectin-3. Note the staining in the neoplastic cells and some staining in the stroma. Galectin-3: clone 9C4

Galectin-3

Antigen Background

Galectin-3 is a member of the beta-galactosidase-binding lectin family. It is involved in several biological events including binding to the basement membrane glycoprotein laminin. Cell surface galectin-3 may be involved in homotypical cell adhesion and is downregulated in colon cancer as the disease progresses. This downregulation has also been examined in breast carcinoma with a similar correlation of expression reported. Downregulation of galectin-3 could be one of the many events that enable cancer cells to interact with laminin to facilitate invasion and metastasis and may indicate activation of the invasive phenotype in various tumor types.

Disclaimer
Galectin-3 is recommended for the detection of specific antigens of interest in normal and neoplastic tissues, as an adjunct to conventional histopathology using non-immunologic histochemical stains.

제품

제품

PA0238-U
7ml Galectin-3 Bond RTU Primary
국가 가용성
PA0238
7ml Galectin-3 Bond RTU Primary
국가 가용성

Downloads

Downloads

PA0238-U

PA0238

Recently Viewed