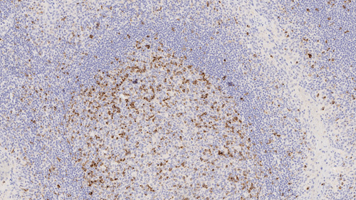
Human Tonsil: immunohistochemistry staining of CTLA-4. CTLA-4: clone CAL49

CTLA-4

Antigen Background
CTLA-4, T-cell co-receptor cytotoxic T-cell antigen-4 (CTLA-4, CD152) is a critical inhibitory regulator of T-cell immunity. CTLA-4 is expressed almost exclusively on CD4+ and CD8+ T-cells and is crucial in the maintenance of T-cell homeostasis. Expression is induced on activated T-cells, with marginal expression on resting cells. The role of CTLA-4 in regulation of T-cell activity in the tumor microenvironment indicates a potential role in control of tumor progression

Disclaimer
CTLA-4 is recommended for the detection of specific antigens of interest in normal and neoplastic tissues, as an adjunct to conventional histopathology using non-immunologic histochemical stains.

제품

제품

PA0181
7mL CTLA-4 (CAL49) BOND RTU Primary
국가 가용성
PA0181-U
7mL CTLA-4 (CAL49) BOND RTU PrimaRY
국가 가용성

Downloads

Downloads

PA0181

PA0181-U

Recently Viewed