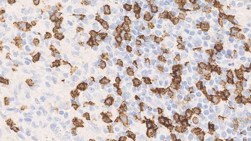
Human lymph node, T cell lymphoma: immunohistochemical staining for CD8. Note the neoplastic cells show a moderate to strong, distinct membrane staining reaction. CD8: clone 4B11

CD8

Antigen Background
The CD8 molecule is composed of two chains and has a molecular weight of 32 kD. It is found on a T cell subset of normal cytotoxic/suppressor cells which make up approximately 20-35% of human peripheral blood lymphocytes.The CD8 antigen is reported to be detected on natural killer cells, 80% of thymocytes, on a subpopulation of 30% of peripheral blood null cells and 15-30% of bone marrow cells.

Disclaimer
CD8 is recommended for the detection of specific antigens of interest in normal and neoplastic tissues, as an adjunct to conventional histopathology using non-immunologic histochemical stains.

제품

제품

CD8-4B11-L
1ml NCL-L-CD8-4B11
국가 가용성
CD8-4B11-L-CE
1ml NCL-L-CD8-4B11
국가 가용성
PA0183
7ml CD8 Bond RTU Primary
국가 가용성
CD8-4B11-L-U
1ml NCL-L-CD8-4B11
국가 가용성
PA0183-U
7ml CD8 Bond RTU Primary
국가 가용성

Downloads

Downloads

CD8-4B11-L

CD8-4B11-L-CE

PA0183

CD8-4B11-L-U

PA0183-U

Recently Viewed